Ir al contenido

BOND™ Kappa Probe

https://www.bio-optic.com/web/image/product.template/6913/image_1920?unique=6a3e038
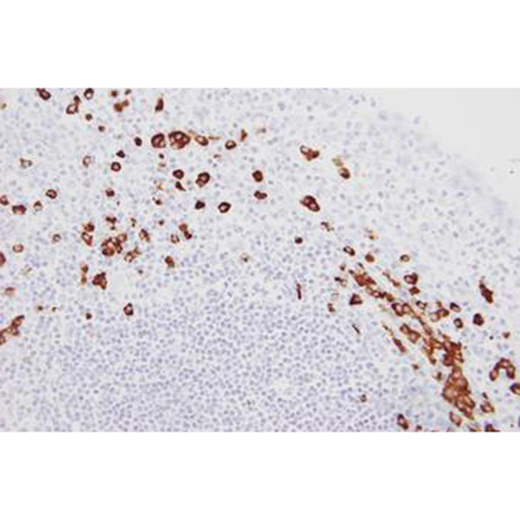
La sonda Kappa se utiliza para la identificación cualitativa del ARN mensajero de la cadena ligera Kappa (ARNm) en tejido fijado con formalina e incluido en parafina mediante hibridación in situ (ISH) utilizando el sistema automático BOND. Hay cinco clases de inmunoglobulinas, determinadas por el tipo de cadena pesada. Por el contrario, solo hay dos tipos de cadenas ligeras: Kappa o Lambda. Cada molécula de inmunoglobulina individual está compuesta por una de cinco clases de cadenas pesadas y cadenas ligeras Kappa o Lambda. En poblaciones linfoides humanas normales, la proporción de cadenas ligeras Kappa a Lambda es de aproximadamente 2: 1. Kappa Probe se utiliza junto con Lambda Probe para la detección de células B productoras de anticuerpos en tejido embebido en parafina y fijado con formalina.

USD 0,00 0.0 USD USD 0,00

Precio Sin Impuestos Nacionales USD 0,00
  • Mercado

Esta combinación no existe.

Mercado: Salud